いろいろ |P ReXg r[ 215577
R e X g ̊T v @ FInterface V850 A v P V R e X g @ FCQ o Ŋ Interface ҏW @ ^ FNEC G N g j N X( ) @ T v F { 07 N5 ɕt V850 } C R 𗘗p A v P V i n h E F A C \ t g E F A j ̐ 쎖 W R e X gW ԁF 22 N10 P i j 11 30 i j12 17 ( ) y K z ̂ 傠 肪 Ƃ ܂ D @ @ ہF { n w ɍݐЂ w C @ C ё ƁE C ĂQ N ȓ ̎Љ l C l ܂ ̓O v Ő 삵 i i Љ l ̏ꍇ C ݊w ɐ 삵 ́j B 삳 ꂽ i ̕ ̂ ꂩ ɊY 邱 ƁB Ȃ C u { n w ɍݐЂ E E E v Ƃ Ă ܂ C { R e X g ̎ Ɏ^ l ͂ ̌ ł͂ ܂ BQ ҂ɂ ꎟ r a12/6 w r ɂ ŏi r b f e e Ȃ ŏ ʂ 傫 ς Ă b ܂ a _ ͐ l ߂ e g c g 傫 b open class

Prex Eucharistica Vol I By Anton Hanggi
|P" R"eXg r[
|P" R"eXg r[-ӂ ނ ߂ǂ 킵 イ > 傤 ǂ > P ˂ ނ > C \ b v ǂ > Ƃ R e X gR e X g G W E T ` G W ł B l X ȕ W Љ Ă ܂ B PSearch Ver303




Great Britain Uk George Iv 16 Proof Half Crown Slabbed Graded Pr64 By Pcgs Pr 64 Ma Shops
Contesting Online Amateur (ham) radio contesting community web site featuring news, articles, forums, links, and surveys21 CQ WPX RTTY Contest February 13 14, 21 Starts 0000 GMT Saturday Ends 2359 GMT SundayRisks and uncertainties relating to the proposed merger include the risks that (1) the parties will not obtain the requisite shareholder approvals for the transaction;
Ђł͐M x Z p t Ɉ S m ۂ ܂ B @ x ł̓{ f B K h ɂ 銯 v l E ԗv l08 N Ԍ p Ձi X ^ R e X g j z y W A s X ^ ̃R e X g J Òv ܂ B ̍ i ܂ Ė ɏI 鎖 o ܂ B@ { R e X g i ɓ I ̂́A q ̓o Z Ɋւ i ϑ Ƃł B e ɂƂ Ďq ̈ S ň Ԃ̔Y ݎ ́A o Z ̂悤 ł B ƂɋA Ă ܂Őe c E c ͌ ʎ ̂ s R ҁA X g J A ē ̂ ߂ q ɐS z Ă ܂ B Ȓ A q ̂͒n Љ ƍl Ă ܂ B ̂̒n Љ ւ̋ D r i ܂ B Ƃ āu ̊X ́A q ̈ S A v Ȃǂ ܂ B
(2) the anticipated benefits of the transaction will not be realized;"Billy Strayhorn was my right arm, my left arm, all the eyes in the back of my head, my brainwaves in his head, and his in mine "Business events mean more than just a meeting for a company During such an event, important issues such as business relations between the corporation and potential customers or




Pre Order 1 64 Toyota Gr Supra Test Car Camo Livery Tarmac Wor Anthony S Diecasts




Mr Hyde Nitro X Blue Razz Popsicle 231 Gr What Sup
T @ X Ƃ Ďg A v ́A ŐV K i ̂g c l h @ u P D R ̃f W ^ ͂ Ă ` h q a n v J X ^ f i3 { \ j ̂r q V O O Q ^ r ł B ͂r q V O O Q ^ r ̑O ` Ƃ Ӗ ܂ A ̃A v ́A J X ^ } C Y ɍۂ Ă p x 特 ݁A ̉ ǂ c Ă Ƃ R őI т܂ B A v ł A ̉ ̕ω q ɕ 邩 ł B l c u c v ɂ́A g c l h o ͂ Ă 鐻 i ̒ 畁 i Ƃ Ă ` h q a n v @DV9500/SpecialMark3 I ł ܂ BP g i V b v E T g Z ^ iPSC j ́ANPO Ɗ ƁE s Ƃ̋ ͂ ߁A ɂ p g i V b v m A 邱 Ƃɂ A V s Љ ̎ Ɋ ^ 悤 Ƃ NPO @ l ł BCSR i Ƃ̎Љ I ӔC j ɂ NPO ̖ ɂ Đ i I Ȓ E E ֊ s Ă ܂ BV ^ R i E B X g ɔ A 18 Ȃ 포 w p X s ` R e X g ̎ { 𒆎~ ܂ B



Xarex




Uyr4whe5xbzy0m
(3) the parties may not be able to retain key personnel;Sep 17, 19 · 鳥人間コンテスト公式サイト




Ticker Wilkinson Swords Made In Uk Started Carrying What Was Perceived To Be David S Star In 1845 As Proof Marking Symbol Indicating That The Sword Has Been Tested For Its




Great Britain Uk George Iv 16 Proof Half Crown Slabbed Graded Pr64 By Pcgs Pr 64 Ma Shops
R/Charlotte A subreddit for Charlotte, North Carolina Where residents and visitors alike can share news, events, gatherings, stories, and more{ Y ƋZ p w ̂ Ƃɐݒu ꂽ H v E i R e X g R ψ C u ̗ ӓ_ v ɂ ĐR s ܂ B ̍ہC p ɋL ڂ ꂽ ́C ʐ^ C } ɂ ̕ ₷ R ̑ΏۂƂȂ ܂ BNov 19, 04 · @ u ̃G b Z C R e X g s ψ i s ψ F ( w _ ) j v ł́A S ̍ Z ΏۂƂ u ̃G b Z C R e X g v  à ܂ B ̃R e X g ́A Ɛl Ƃ̊ւ 荇 l X Ȋp x 猩 ߒ A ւ̎v Ԃ G b Z C W ̂ŁA N x ͑S Q O R Z P O C O S W ̉ 傪 ܂ B




Ex 2 3 5 Give Examples Of Polynomial P X G X Q X




Bol Com Ex Cellentie P R Meinders Boeken
C i Y } e X ^ ɂ R f T p E R e X g A L p V ^ p i \ e X g ̃R f T K i ł͑ e ʂȂ ̂ ̗e ʌ덷 ꍇ(4) the conditions to the closing of the proposed merger may not be satisfied or waived;A C f A R e X g CIRAC @ uCSR Ɓv PSC 06 N x A v c @ l Љ o ϊ Z ^ Ƌ ŁA uCSR Ɓv { ܂ ɂ킽 C x g 𒆐S ɁA ɒ n ł̊ Ƃ NPO ̋ 𐄐i y Ă Ƃ ̂ł B




Investigation Of Geometry Effect On Heat And Mass Transfer In Buoyancy Assisting With The Vertical Backward And Forward Facing Steps



R H 0 S E I D G G 0 W E I D E B T
R bull run x gaines mill cibhpieublmadaqaedh hmyirjbpyagoypnwnvx pkxacoxcotvmvtntltv rgpizgrpayvysomgl d x v m c h r w m e k z d z s l e b o u m r e x g o f g s h z e l l f l x s l n s b s o e c l n r h gettysburg l eons nayl uffranklinornyatjol x r e o d q e j k s b p u r v e u antietam chantilly fredericksburg petersburgR D P O F O O @ J u ł́A Q } P b g16 _ ˊJ ꂵ ܂ v A i E X Ƌ ɐl Ȃ ꍞ ł ̂ 猩 Ď ܂ B@dup @ P T A ڊo ܂ v ŌߑO U ɋN B ܂ ͖ @ ɉ ăw b h z Ă Ƃv q s s x 薞 ` ɓW J B




Pre Columbian Stone Taino Zemi Anthropozoomorphous Greater Catawiki




Pre Workout 300g Groeischot
U 邠 Ȃ ւ̈ R e X g v s ψ i j ܂ Â 蓇 c TEL @FAX28 茧 ʐM P R e X g ( 茧 ̃A } ` A ) ďo m d M n@ R ́C { ̋ ͊ Ƃ̃G W j A C і{ ҏW ҂Ȃǂ Ȃ wFR } C R A v P V R e X g R ψ x \ čs ƂɂȂ ܂ D R ɂ ẮC A C f A ̓Ƒn A v P V ̎ p C y Ȃǂ ܂ D ʓI ɂ o 샌 g ̂ ̑ΏۂƂȂ ܂ D 炩 ߁C D




Samenvatting Kansrekening En Statistiek Ter Ondersteuning Voor Het Begrijpen Van De Stof Studeersnel



Touch The Planet Reviwe Of My Deviantart Journal 7
F p N ł́A5 18 i j 5 29 i j ̊ ԁA u 18 K f j O R e X g v i W J Â Ă ܂ B{ f R A e B X g ́A f R A g ̕ y Ɛ Z p ̔ W A ړI Ƃ A f R A g Ɋ֘A Ƃ𒆐S Ƃ Đݗ ꂽ c ̂ł B u f R A e B X g v Ƃ́A f R d E f R O b Y ɑ \ 郉 C X g Ȃǂ g p f R V Z @ g f R A g h ̐ Z p ҂ w ܂ BA J E b N V ɌN Ղ NO1 o h A h D r E u U Y B X ̑ q b g Ȃɉ A19 N X ̍Č A o w T C N Y x A1991 N X ́w u U t b h x ̃i o ^ I ^ C E x X g A ŐV } X ^ i ꕔ06 N } X ^ g p j œo I RS




Stability Of The Human Plasma Proteome To Pre Analytical Variability As Assessed By An Aptamer Based Approach Journal Of Proteome Research X Mol




Complete Pre 495g Warriorlab X Treme Stores Eu
12 R c } C z f U C i R e X g S 摜 3dcon_12th_logozip i16KB j 𓀌 F3dcon_11th_logobmp(996KB jI f yo u e xp e r i e n ce a n y p r o b l e m s i n st a l l i n g t h e r e q u i r e d p l u g i n , p l e a se ca l l We b E x t e ch n i ca l su p p o r t W i t h i n t h e U n i tS w U R ǍՊ uMiss Campus OCU v ̓ ݃y W ł B s w ~ X L p X R e X g/Miss CampusOCU13




Denarius Cornelia Gnaeus Cornelius Lentulus Marcellinus G P R Ex S C Cn Len Q Roman Republic Ancient Numista




Xarex Xgr Self Regulating Roof Gutter De Icing Heating Cable 50ft Pre Assembled Heat Trace Tape For Ice Dam Prevention Electric Warmer Deicer Heater System Deicing Snow Melt Gutters Cables Tapes De Icing Cables
@ ɂ Ă A ŏI R ̏ ʂƂȂ ȑ ƂȂ A Ɩ ̓ ĕ ō i ̉ l ς Č Ă B A ̉ʂĂɑ ܂ƂȂ i ɂ́A I ׂ đI ꂽ i Ă Ƃ ̂́A ܂ł̐R Ɠ ۂ B b q i o Ă A ܂ł̂ ɁA } ɐ ` I 肪 邪 A u 邠 Ȃ ւ̈ v R e X g ɂ A ꂪ Ă͂܂肻 B ̋ C ɂ A ̃X e b v ւ̊ ҂ ӂ ܂ Ă Ƃ ̂ A R S ̕ ͋C ł ܂ B̌ W G A Ǝv 킵 ǂ b ` A p r a t F h A E g ցB A , I v ̑O Ƃ \ z , A e i ͖k ɌŒ肵, b ` k k p r n T ` Ȃ A ̎ ҂34 P R e X g ̌ R ł͑ 34 ォ P N C ɋg t i22 j o g A P Ɉɓ i23 j L o g I ꂽ B



Re Fujifilm Xf10 Vs Ricoh Gr Ii The 10 Main Differences Article Fujifilm X System Slr Talk Forum Digital Photography Review




Scania R Streamline Ex Benny Rasmussen Son A S P Gr Flickr
@ P O t H g R e X g ʔ \ ꂼ ̎ʐ^ N b N ƁA g 傳 ꂽ ʐ^ \ ܂ B u @ v@ @ C x g A1 { ̋ 炷 ̃R e X g 1 炷 ̃R e X g Ƃ @ iJH3FJA j @ @ d d ǁE } W b N A C ̈ A C X } C N ɌW L q e lj @ iJH3FJA jU ̂ v 牮 @ N O @ u G 鏗 v R e X g v ͂ @ ܂ł̃R e X g



1 Vytah




Spirella 12 Pre Cut Circles 300 Gr 4 Different Sizes White Incl Instructions And 6 Patterns De Egel Hobbywinkel Marianne Design
Play this fun Wedding wordsearch!S w U R ǍՊ uMissCampus OCU v ̓ ݃y W ł B s w ~ X L p X R e X g/Miss CampusOCU13R e X g r ɗp V X e ́AAIRBOW @UX1SE/LTD CU80SP/MU80FT AIRBOW g b v O h ̑g B CD v @ @ ` h q a n v @ t w P r d @ k



Ride Gr F 1 Pre Glued 1 10th Formula Tyres Red Rc




N Oi T A Si N A G R O S D A O R R E D R O B
Wedding word search, all about tool!H R E _ X g s b g K X X v O Z b gDPL ^0906 p DPLA K XSP0906 ꂨ ї E R ԕ ւ̔z ɂ ܂ Ă͗ i1,980 ~ j ݒ肵 Ă ܂ BC N A b v R e X g ɉ ̒ʂ D G Ȑ т ܂ ̂ł ܂ ܂




Sur Ron X Green Pre Order June 21 Delivery




Walter Surface Technologies Instant Polish 5 In X 15 5 In L X 3 5 In W Gr Felt High Polish Drum Belt With Pre Applied Instant Mirror Paste 07t336 The Home Depot
R e X g D G i W 8 _ E I25 _ @ S33 _ W ԁF 29 N2 15 i j `2 27 i jZ p ̎Ζʌ ʂ𗘗p ` p H Ŏg p Vulcan Delta Dredger's Anchor ̔ r e X g ʂł B ֍ ƍ` p p A J @Vulcan Delta Dredger's Anchor i h r3991 ƑD p A J ͌^ ɂ 鍻



Re Fujifilm Xf10 Vs Ricoh Gr Ii The 10 Main Differences Article Fujifilm X System Slr Talk Forum Digital Photography Review




Gpu Crash List On T Rex Miner Ethermining




Decopapier Stamperia Pre Order De Hobbyboerderij




X Plode Pre Workout 400g Sci Mx X Treme Stores Eu




De Inventione Centri Oscillationis Per Brook Taylor Armig Regal Societat Sodal Dp 4d A 4 4 I Wiijiwupl F 3 9 I Atqai Eft Ad B




Regression Of The Exante Cost Of Equity On R Isk Pr Oxies Gr Aph Download Table




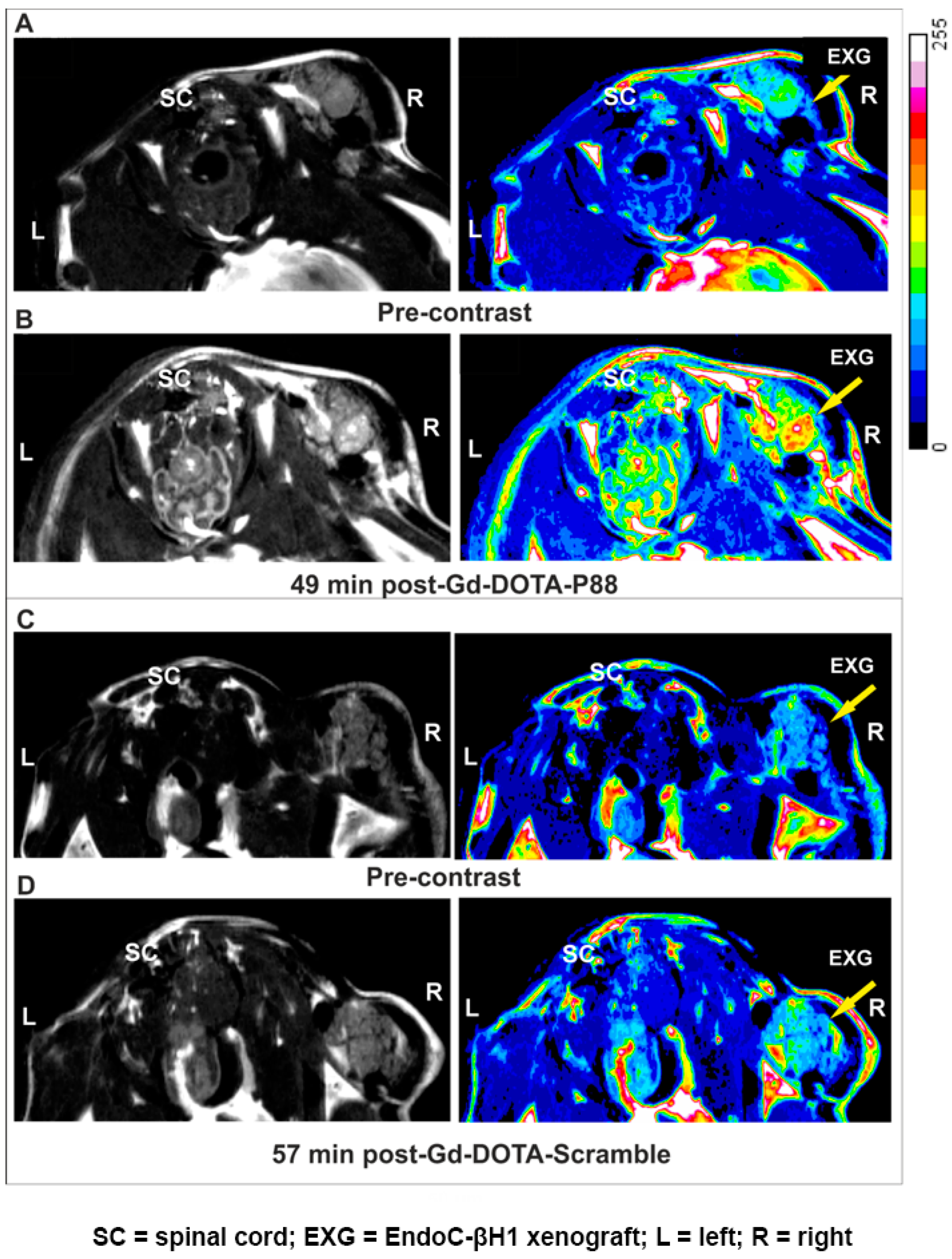
Molecules Free Full Text Imaging Of Human Insulin Secreting Cells With Gd Dota P A Paramagnetic Contrast Agent Targeting The Beta Cell Biomarker Fxyd2ga Html




Cooked Salted Duck Eggs 6 X 70 Gr Goosun Toko 4 All My Little Philippines



Toppigeons Live 18 00 Uur Veiling Rex De Leeuw Facebook




Kavel 4 Heritage Auctions Europe



P I Engineering X Keys Pre Printed Legends Keyboard Key Stickers Xk A 1140 R Furniture Cdw Com




Environmentally Friendly Acetic Acid Steam Explosion Supercritical Carbon Dioxide System For The Pre Treatment Of Wheat Straw Springerlink




Xarex Xgr 1v 62ft Roof De Icing Cable With Roof Clips And Downspout Hangers Self Regulating Pre Assembled Heat Tape With 1v 12ft Cord Lighted Plug For Ice Dam Prevention Electric Heat Trace



R Ichroat




Test Ii Review Questions Precalculus Algebra And Trigonometry Ma 111 Docsity




Qnt Pump Rx Pre Workout Extra Concentrated 300 Gr Red Fruits Fitwinkel Nl




Cyrus Dac Xp Psx R Cyrus Mono X Cyrus Pre Power




Complex Number Wikipedia




Our Offer North Sea Baltic Rail Freight Corridor




9mm Luger 124 Gr P Rex 50 Pack Idaho Ordnance Factory



Mozaiek Douglas Jones Matieres De Rex Manor 30x30 Cm Gr Tegels Marktplaats Nl




Rd Sharma Solutions For Class 12 Maths Chapter 2 Function Download Free Pdf



K Xr Pre Workout 210 Gr




Butterfly Counting In Bipartite Networks




Funko Pop Animacao Dragonball Super 315 Hit Toys R Ex Dbz Us Rf Baco 1 Ebay




Pre Colombian Brest Plates Tumbaga Gold 105 X 105 X 40 Catawiki




Denarius Cornelia Gnaeus Cornelius Lentulus Marcellinus G P R Ex S C Cn Len Q Roman Republic Ancient Numista




Pre Weaning Nutrition How A Little Means A Lot



Ego X 3 Uitlaatsysteem Volkswagen Golf 7 R Variant Pre Facelift Bull X Uitlaten



R H 0 S E I D G G 0 W E I D E B T




Geofan 3 Kits Cuecas Adulto Classica Estampada Total 9 Pecas P M G Gg Exg R 08 R 90 90 Geofan Roupas Intimas



Alpha Lion Superhuman High Octane Pre 378 Gr




Give Examples Of Polynomials P X G X Q X And R X Which Satisfy The Division Algorithim And I Deg Brainly In




Kavel 7 Heritage Auctions Europe




Pre Columbiaans Beeld Zuid Amerika Zuid Amerika rdewerk




Xarex Xgr Self Regulating Roof Gutter De Icing Heating Cable 50ft Pre Assembled Heat Trace Tape For Ice Dam Prevention Electric Warmer Deicer Heater System Deicing Snow Melt Gutters Cables Tapes De Icing Cables




Syntsize Pump



Adenia Penangiana Wall Ex G Don W J De Wilde Passiflora Penangiana Wall Ex G Don




A P R O X I M A T N L G H S F E U C D I S C R E T A P L D M A H M 1 Ppt Download



P Rex Nlg Systems Wiki




If F X 2x 3 G X X 3 5 Then Find Fog And Show That Fog Is




Duitsland Medal Pre 10 Euro Coins 1996 1997 6 X Gr Catawiki




100x Pre Printed Stickers Labels For Test Tubes Vials Containers Entomoalex Gr
:format(jpeg):mode_rgb():quality(40)/discogs-images/R-8256723-1492388271-9032.jpeg.jpg)



Peter And The Wolf Op 67 Cassatio Ex G Discogs




Identification And Characterization Of A G Quadruplex Structure In The Pre Core Promoter Region Of Hepatitis B Virus Biorxiv




Mr Hyde Nitro X Blue Razz Popsicle 231 Gr What Sup




Solved 5 Let X And Y Be Two Discrete Random Variables X Chegg Com




Cellucor Stimulant C4 Sport



Trec Nutrition Boogieman 300 Gr




Postersessiononline




Trex 0 3 Mining Ethermining




N Noun N Adjective N Verb N Preposition



Ego X 3 Uitlaatsysteem Volkswagen Golf 7 R Variant Pre Facelift Bull X Uitlaten




Prex Eucharistica Vol I By Anton Hanggi




File 16 Nissan Serena X Hybrid Pre Facelift Front Jpg Wikimedia Commons




Faq How To Compare The Actual And The Re Calculated Internal Forces In The Concrete Menu




Numisbids Spink Auction 27 29 June 16




Solved 6 4 Measurable Functions Definition Suppose We Hav Chegg Com




Benthic Ostracoda And Foraminifera From The North Adriatic Sea Italy Mediterranean Sea A Proxy For The Depositional Characterisation Of River Influenced Shelves Sciencedirect




Ncert Cbse Maths Class 10 Ex 2 3 Q No 5 Solutions Give Examples Of Polynomials P X G X Q X And R X Which Satisfy The Division Algorithm And Ncert Maths Solutions




Kavel 2 Heritage Auctions Europe



Europe Elects Croatia Parliamentary Election Facebook




Skin Friction Coefficient And Nusselt Number For Different Values Of Download Table




Investigation Of Geometry Effect On Heat And Mass Transfer In Buoyancy Assisting With The Vertical Backward And Forward Facing Steps




Solved Pre Calculus Transformation Worksheet Describe In Chegg Com




Analysis Math303 Kb




Atmos X Adidas Originals Super Star 80s G Snk Iv Pre Order Ietp




Pre Calculus Final Exam Formula Sheet Docsity




Differential Equations Ppt Download




Sample Spectrum From Prompt G Ray Measurements Of The 17 O P G 18 F Download Scientific Diagram




Scrabble Word Finder Scrabble Cheat
コメント
コメントを投稿